一、导致肠炎原因
1、 细菌感染
当嗜水气单胞菌、大肠杆菌等致病菌在对虾肠道菌群中占据数量优势时,会引发肠炎。
2、 藻毒素
当有害藻在池塘中占据绝对优势后,被对虾摄食或有害藻死亡释放藻毒素,导致对虾中毒诱发肠炎。
二、肠炎造成危害
肠炎造成对虾吸收利用饲料营养能力差,导致对虾营养不良,体质与抗病率大幅下降,出现脱壳困难,甚至脱壳不遂;对虾肠炎后还会迅速败坏水质,吃料多吸收利用少。
三、治理肠炎方法
推荐使用中仁肠卫士加乳酸菌原液,各拌20斤饲料,交替使用。


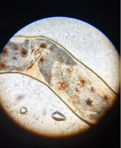
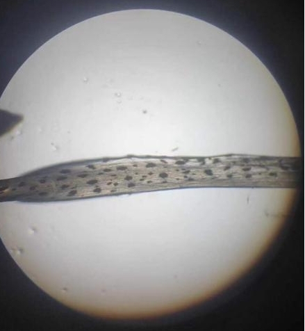
地点:山东省滨州市乔庄镇
用药前

用药后

丁酸梭菌可预防肠炎等肠道问题,分泌丁酸梭菌素抑制有害菌,维持肠道菌群稳定。用药或病后的肠道复健,具有良好的保健与修复功能。可以加强肠道免疫屏障。改善池塘底质、水质,抑制池塘底部有害细菌增殖。
本文供稿:徐治然,马玉克
编辑审核:张传宝,臧学运